眼腫瘍 - 目の病気よろず相談室
眼腫瘍とは
動画で解説
眼部にできる腫瘍は大きく分けて、眼瞼腫瘍(脂腺癌や基底細胞癌)、結膜腫瘍(上皮内癌や悪性黒色腫)、眼窩腫瘍(涙腺腫瘍)、眼内腫瘍(網膜芽細胞腫や脈絡膜悪性黒色腫)、また悪性リンパ腫、眼部転移性腫瘍があり、種類によってさまざまな症状、また治療の方法があります。
当院は眼腫瘍専門診療を標榜する全国でも数少ない施設の一つであり、眼部腫瘍の新患数は年間約250例です。特に眼瞼腫瘍では全国でも有数の症例数を経験しています。
眼腫瘍について詳しく
眼腫瘍の症状
眼部にできる腫瘍は大きく分けて、眼瞼腫瘍(脂腺癌や基底細胞癌)、結膜腫瘍(上皮内癌や悪性黒色腫)、眼窩腫瘍(涙腺腫瘍)、眼内腫瘍(網膜芽細胞腫や脈絡膜悪性黒色腫)、またそれらのどこにでもできる可能性のあるものとして悪性リンパ腫、眼部転移性腫瘍があります。症状としては瞼の腫れ、眼球突出、眼の痛み・違和感、視力低下、歪み、視野異常、子供にできる網膜芽細胞腫では白色の瞳孔や視力障害、斜視が見られることがあります。
眼腫瘍の原因
眼瞼悪性腫瘍は高齢の方でみられることが多いですが、眼部腫瘍には若年でも見つかることがあります。原因は様々ですが、網膜芽細胞腫は特定の遺伝子(RB1遺伝子)の異常と関連していることがわかっています。
眼腫瘍の治療
- 眼瞼腫瘍:
-
■ (左)眼瞼脂線癌 (右)眼瞼結膜扁平上癌眼瞼には、表側の皮膚から基底細胞癌が、内部のマイボーム腺から脂腺癌が、また裏側の瞼結膜から扁平上皮癌が発生します。治療は、3~5mmの安全域をもうけた眼瞼の切除が基本です。病状により、術中冷凍凝固術や術前後の抗癌剤点眼、放射線治療、全身化学療法を併用します。
- 結膜腫瘍:
-
抗癌剤の点眼や結膜下注射を行い、早期例ではメスを入れずに治療、重症例でも最小限の手術で目に優しい治療を行います。
結膜悪性黒色腫ではインターフェロン注射を併用して生命予後を飛躍的に改善させています。 - 眼窩腫瘍:
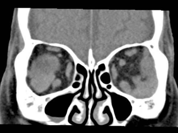
- 眼窩壁の骨切りを上壁や下壁に拡大して大型の腫瘍も取り残しなく安全に摘出します。眼窩先端部の腫瘍は脳神経外科との連携で、鼻腔に及ぶものは耳鼻咽喉科との連携で行います。
- 悪性リンパ腫:
-

眼周囲(結膜、眼瞼、眼窩)に発生する悪性リンパ腫の多くは低悪性度MALTリンパ腫ですが、時に高悪性度のマントル細胞リンパ腫や、びまん性大細胞Bリンパ腫が発生します。診断は、造影CT、造影MRI、PET-CTを行い、確定診断のために部分生検を行います。治療は、組織型や病気に応じて放射線治療、全身化学療法を行います。
- 網膜芽細胞腫:
- 乳幼児の眼内に白色の腫瘤があれば多くの場合、網膜芽細胞腫です。視力障害、斜視などが症状として現れることもあります。診断はCT、造影CT,造影MRI、眼内液NSE測定で行い、通常生検は行いません。治療は、腫瘍が大きい場合や眼内に散布している場合は眼球摘出を行います。眼球保存を行う場合、また眼球摘出後に視神経浸潤や脈絡膜浸潤があった場合には、全身化学療法を行います。眼球保存療法では化学療法と併用して経瞳孔温熱療法(赤外線レーザー治療)を行います。
- 脈絡膜悪性黒色腫:
-

眼底検査で脈絡膜に黒色の腫瘍があり、高さが3mm以上、増大傾向がある場合、悪性黒色腫の可能性が高いです。診断のために、I-SPECT検査や眼内液の腫瘍マーカー測定を行い、通常生検は行いません。治療は、腫瘍の大きさ、位置、転移の状態によって、眼球摘出、サイバーナイフを用いた放射線療法、全身化学療法などを行います。
当院の特徴
当院は眼腫瘍専門診療を標榜する全国でも数少ない施設の一つであり、眼部腫瘍の新患数は年間約250例です。特に眼瞼腫瘍では全国でも有数の症例数を経験しています。
当院では40年余にわたって眼腫瘍を専門的に診療しており、多くの患者様の長期経過をみていることに特徴があります。
この経験から、腫瘍を切るというだけでなく、あるときは積極的治療、あるときは保存治療をと、患者様の人生計画とライフスタイルを考えて治療法を提案するようにしています。




